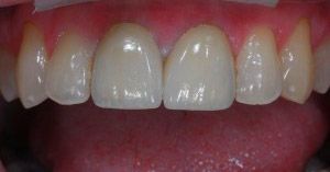
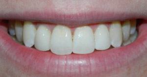
Dental Smile Gallery Waco

Satisfied Patients Share Their Results

Smiling man and woman sitting on couch together

With three expert dentists leading the charge at Heart of Texas Smiles General & Cosmetic Dentistry in Waco, you can expect first-rate service and skills that produce one-of-a-kind results. In our dental smile gallery below, you can see for yourself the kind of changes that occur when you combine restorative, cosmetic, and even implant dentistry with a talented team of professionals.