Request a Consultation Call Our Office Map Us

Request
a FREE Smile
Makeover Consultation

Nobody Cares
More

Every dentist tries to impress you with what they know. We go about things differently. We start by getting to know you. We believe what you feel and what you want is more important.

Once we understand you and your goals, we unleash our experience and knowledge – along with the latest technology – to develop a customized plan for your smile.

Cosmetic dentistry has been used by movie, television and internet stars to create amazing smiles for decades. Now, we can do the same for you. Give our team of specialists a call today. You will not be disappointed.

Meet Our Team
Doctors smiling
Our Amazing Dental Team

Why Invest In
Your Smile

The reality is simple. The #1 body feature noticed by others is your smile. In addition to improving your appearance, a beautiful smile improves your self-confidence and enhances your self-esteem. It can unleash a completely different personality – one that has been hidden for decades. A smile creates energy and engagement, and it is a welcome sign to friends and new acquaintances. If you are considering an investment in yourself, start with a smile.

Tour Our Office
dental rooms in Ponte Vedra Beach

Patients
Love Us

“Dr. Ribacova is so nice and he does a great job. Virginia his assistant, is even nicer! She makes my visit enjoyable! She’s also very talented :D …”

- Regina W.

Read More Reviews

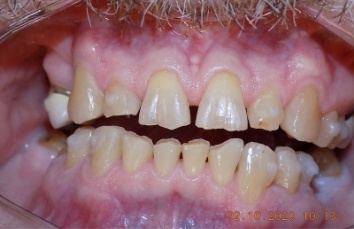
Actual Patient Results Before & After

Actual Patient Results Before & After

A smile before cosmetic work Before A beautiful smile after cosmetic work After
See More

Truly Amazing Results

The first porcelain veneers were created for silent movie stars in the 1920’s. Since then, nearly 100 years of research and development have gone into perfecting the process of attaching thin, beautiful layers of porcelain to the fronts of your natural teeth.

As a result, we are now able to completely revitalize your smile in as little as 2 visits. Your natural teeth are preserved, and there is no pain or costly downtime. It truly is a case where art and science have come together to create amazing work.

Learn About Veneers
Cerec machine in action